«Улыбка Prosecco»: Стоматолог из ХМАО рассказала о влиянии алкоголя на зубную эмаль. Фото

Как алкоголь влияет на здоровье полости рта
Фото: Вадим Ахметов © URA.RU
Активное употребление алкоголя может привести к эффекту под названием «Улыбка Prosecco», который подразумевает проблемы с деснами и зубной эмалью. Об этом рассказала URA.RU врач-стоматолог из Сургута Элина Бакиева.
«После затяжных новогодних праздников ко мне особенно часто обращаются пациенты с повышенной чувствительностью зубов, кровоточивостью десен и с эстетическими дефектами эмали. Дело в том, что алкогольные напитки разрушительно воздействуют на зубы, в следствие чего мы и получаем „улыбку Prosecco“, — рассказывает собеседница.
Эффект был назван в честь газированного алкогольного напитка Prosecco, ведь именно пузырьки в нем содержат диоксид углерода, который разрушает зубную эмаль. Так же алкоголь снижает уровень минеральных солей и кальция в организме и вызывает сухость во рту, тем самым повышая развитие патогенных и кариозных бактерий. Все это может привести к воспалению десен, гингивиту либо пародонтиту.
«Как пить спиртное без вреда для полости рта? Во-первых, постарайтесь не грызть лед из напитка, во-вторых, после употребления алкоголя, нужно прополоскать рот водой и правильно почистить зубы — не сразу, когда зубная эмаль еще мягкая, а через 30 минут, пастой для чувствительных зубов», — объясняет стоматолог. Газированные напитки следует пить через трубочку, а так же можно воспользоваться жевательной резинкой без сахара, чтобы увеличить слюноотделение и тем самым избавиться от сухости во рту.

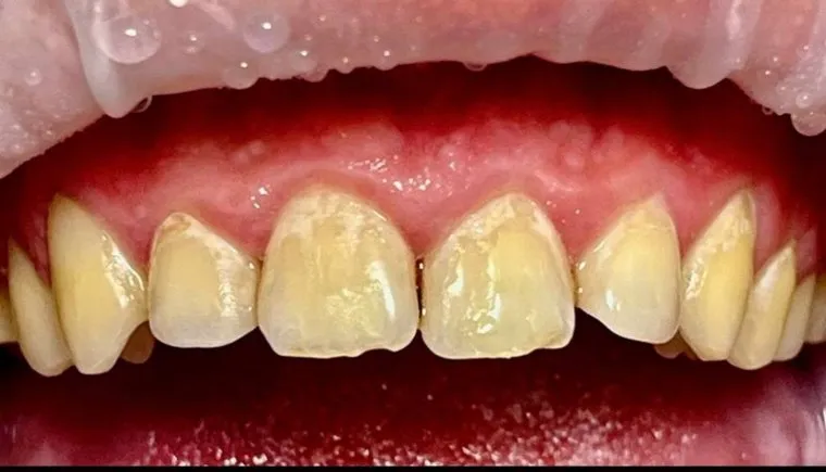
«Улыбка Prosecco»
Фото: Элина Бакиева

Здоровые зубы
Фото: Элина Бакиева
Что случилось в ХМАО? Переходите и подписывайтесь на telegram-канал «Ханты, деньги, нефтевышки», чтобы узнавать все новости первыми!