В Кургане прооперирована 4-летняя девочка с редкой ортопедической патологией. Фото

Курганские врачи провели сложную операцию 12-летней девочке (архивное фото)
Фото: Екатерина Сычкова © URA.RU
В Центре Илизарова в Кургане провели уникальную операцию 4-летней пациентке с редкой ортопедической патологией — аневризмальной костной кистой. Патология привела к перелому бедренной кости. Об этом URA.RU сообщили в пресс-службе медучреждения.
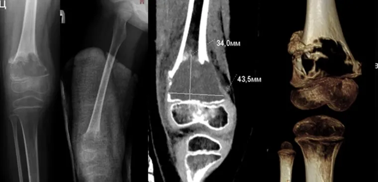
«4-летняя пациентка отделения №6 Клиники нейроортопедии и системных заболеваний была госпитализирована в Центр Илизарова с аневризмальной костной кистой. Редкое заболевание способно привести к серьезным осложнениям. Заболевание поражает метафизарные отделы трубчатых костей и позвоночника. В данном случае киста расположилась в правой бедренной кости ребенка», — рассказали нам.
Аневризмальная костная киста у ребенка достигла размера почти со спичечный коробок и полностью разрушила фрагмент бедренной кости, что спровоцировало перелом. Заболевание опасно осложнениями, включая деформации и укорочения конечности, а также нарушениями роста костей.
Бригада специалистов под руководством заведующего шестым отделением Сергея Леончука и травматолога-ортопеда Шохбека Имомова выполнила кюретаж кисты, тщательно очистив ее содержимое, а затем закрыла образовавшийся дефект аутотрансплантатом, взятым из малоберцовой кости самой пациентки, и специальным костно-пластическим матриксом. Для коррекции деформации и ускорения восстановления была применена классическая методика остеосинтеза аппаратом Илизарова, что позволит ребенку избежать смещений и других ортопедических осложнений в будущем.
В Центре Илизарова отмечают, что несмотря на редкость подобных случаев, специалисты клиники накопили значительный опыт лечения пациентов с костными кистами длинных трубчатых костей. Активно используются современные малоинвазивные методы костной пластики и аппарат для восстановления опорных функций конечностей у детей с тяжелыми ортопедическими патологиями.
Ранее специалисты Центра Илизарова уже проводили уникальные операции детям с тяжелыми ортопедическими патологиями, включая многоуровневое вмешательство 12-летней пациентке с ДЦП, что позволило ей впервые сделать самостоятельные шаги. Врачи регулярно применяют современные методы костной пластики и аппарат Илизарова.
До лечения
Фото: Центр Илизарова
Что случилось в Кургане? Переходите и подписывайтесь на telegram-канал «Курганистан», чтобы узнавать все новости первыми!



