В Кургане провели операцию женщине, которая упала с высоты восьмого этажа. Фото

Курганские врачи помогли жительнице Ставропольского края (архивное фото)
Фото: Екатерина Сычкова © URA.RU
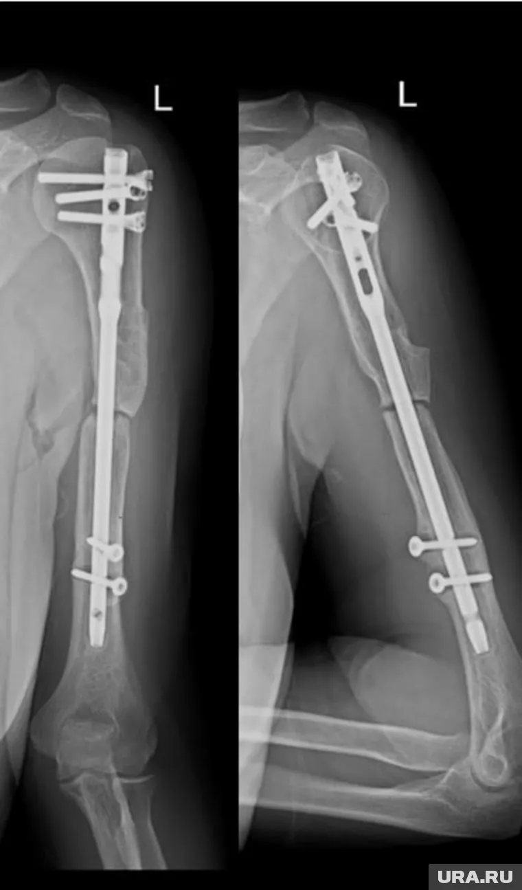
Врачи Центра Илизарова в Кургане успешно провели сложную операцию 37-летней жительнице Ставропольского края. Она поступила с тяжелыми последствиями кататравмы после падения с высоты восьмого этажа. Об этом сообщается в tg-канале медучреждения.
«37-летняя жительница Ставропольского края два года назад упала с высоты восьмого этажа, получила тяжелую сочетанную травму плечевой кости. По месту жительства молодой женщине была сделана операция с использованием интрамедуллярного остеосинтеза», — пишет ведомство. Однако добиться сращения костей не удалось — развился стойкий ложный сустав, а деформация плеча усиливалась. Врачи Центра Илизарова провели комплексное хирургическое лечение: удалили старую металлоконструкцию, устранили деформацию, выполнили остеотомию и локальный остеосинтез с применением аппарата Илизарова.
После операции состояние пациентки стабилизировалось, болевой синдром был устранен, а поврежденная конечность получила надежную фиксацию. На период дальнейшей фиксации в аппарате Илизарова женщина была выписана домой для амбулаторного лечения. За процессом восстановления будут наблюдать дистанционно: врачи центра регулярно анализируют рентгенограммы, присылаемые пациенткой, и контролируют динамику сращения кости.
Центр Илизарова регулярно проводит сложные операции по восстановлению опорно-двигательного аппарата у пациентов с тяжелыми травмами и врожденными патологиями. Ранее специалисты центра успешно помогли 12-летней девочке с ДЦП впервые сделать самостоятельные шаги после многоуровневой коррекции конечностей.
В Кургане провели операцию женщине, которая упала с высоты восьмого этажа
Фото: tg-канал НМИЦ ТО имени академика Г.А. Илизарова Минздрава России
Что случилось в Кургане? Переходите и подписывайтесь на telegram-канал «Курганистан», чтобы узнавать все новости первыми!


