В ХМАО младенец проглотил булавку. Фото

Булавка застряла в бронхах малыша
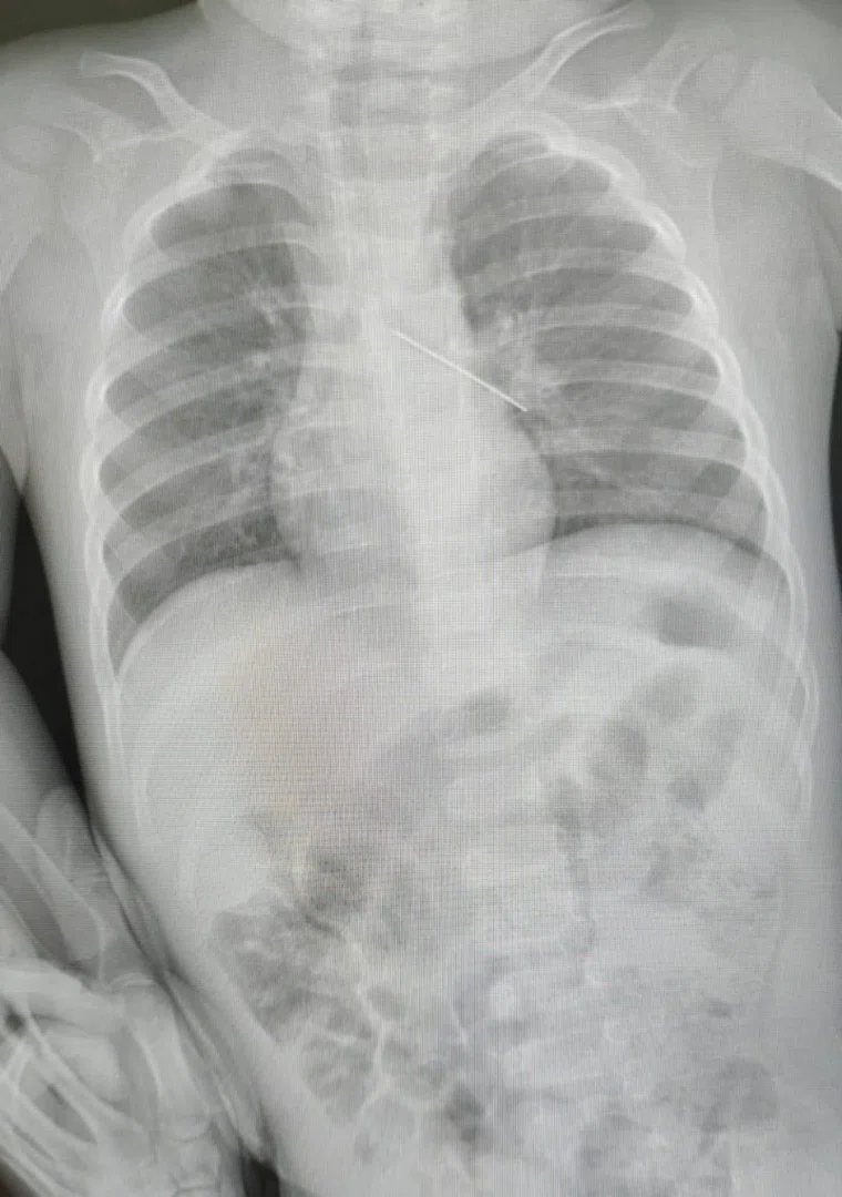
Фото: Илья Московец © URA.RU
В Сургуте (ХМАО) малыш в возрасте 1 год и 5 месяцев экстренно поступил в больницу. Как оказалось он проглотил булавку, которая застряла в бронхах. Подробности спасения малыша сообщила глава Центра охраны материнства и детства Лариса Белоцерковцева.
«К нам экстренно поступил малыш (1 год и 5 месяцев), который проглотил английскую булавку. Мама вовремя заметила беду и незамедлительно доставила ребенка в больницу. После проведенного обследования выяснилось, что булавка оказалась в бронхах — крайне опасное положение», — сообщила главврач медучреждения в своем telegram-канале.
Врачи смогли извлечь булавку эндоскопическим способом. В противном случае ребенку пришлось бы делать масштабную операцию — торакальную.
Что случилось в ХМАО? Переходите и подписывайтесь на telegram-канал «Ханты, деньги, нефтевышки», чтобы узнавать все новости первыми!


